Behind of Profession
Educator & Master of Dental Artistry
Precision with Purpose:
Crafting Smiles That Inspire
Less Invasive, More Expressive
View Gallery
AWARDS
2 Awards
SBOE ( Sociedade Brasileira Odontologia Estética)
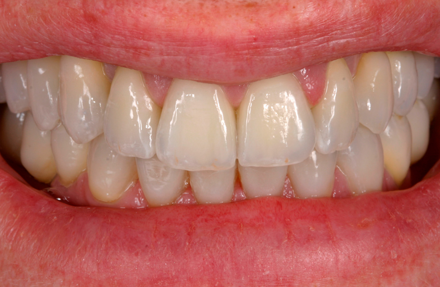
For Alexandre Santos, each prosthesis transcends a mere medical solution. It’s the metamorphosis of technique into art, the revelation of an identity, and the genuine expression of the soul. In his laboratory, the academic precision of science intertwines with artisanal mastery, bending technique to profound human empathy. We don’t just mold teeth; we sculpt masterpieces that echo life stories, restoring not only function but also the confidence and timeless beauty of each smile.
And it is on this stage of reinvention that Alexandre Santos excels, transforming each case into a narrative of overcoming and beauty. It’s not just about reestablishing function, but about redesigning self-esteem and restoring the joy of smiling openly. Each sculpted smile is a new chapter in someone’s life, where prosthetic art becomes the tool to rewrite stories, celebrating the individuality and confidence that emanate from work done with mastery and a deep understanding of the human being
The Impact in Numbers
My Contributions in Dental Literature




A Closer Look at My Work
Explore selected cases showcasing the blend of precision, artistry, and personalized care that defines my work. Every detail matters.













